请输入关键字
从困境到希望丨多学科协作打好血友病患者膝关节保卫战
作者:侯琳 时间: 2024.10.25

血友病患者不能摔、不能碰、格外脆弱,需要处处留心,对于凝血功能异常的他们来说,手术就是荆棘密布的禁区,可以说每一步都充满了风险和挑战。

近日,中南大学湘雅二医院桂林医院传来一则令人振奋的消息,骨科一病区(关节、脊柱)团队成功为一位重型血友病A型患者施行双侧膝关节置换手术,他们为患者探寻自由行走的可能,为血友病患者带来了新生的曙光。

痛苦多年,血友病患者求医欲改变

骨科一病区(关节、脊柱)行政主任易平介绍,血友病是由一组凝血因子缺乏而引起的凝血功能障碍的遗传性出血性疾病,该病属于罕见病。该类患者通常凝血困难、凝血时间长,重症患者没有明显外伤也可发生自发性出血,日常生活因为出血倾向而受到极大影响。

膝关节是血友病患者最常受影响的关节之一,长期的出血和炎症会导致血友病患者关节损伤和功能障碍,严重影响其行动能力和生活质量,甚至可能致残。

患者路先生(化名)就深受血友病困扰,他的膝关节病变严重,疼痛和活动受限极大地影响了日常生活。为了改变这一困境,路先生经过多方打听,了解到中南大学湘雅二医院桂林医院骨科在膝关节置换手术方面经验丰富,这才下定决心,希望重获行走自由的权利。

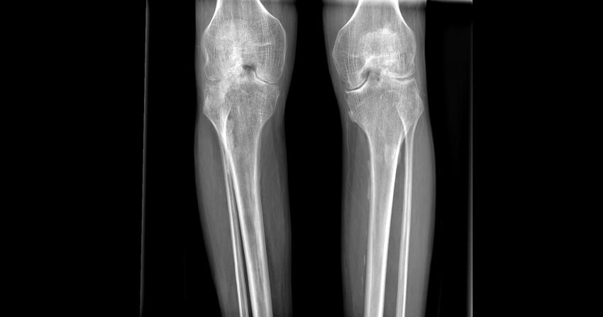
患者术前双膝情况

由于血友病的特殊性,手术方式的选择、围手术期的处理、并发症的预防及处理等问题是一个巨大的挑战。手术中如何精准的截骨、如何安全有效地清除骨赘,又要保证手术中较少的出血,这一个个难题都抛向了医疗团队。

术前救治小组开展多学科会诊

面对如此复杂的血友病双膝置换病例,医疗团队并未退缩。术前,医院专门成立救治小组,先后多次组织多学科MDT会诊,包括肿瘤血液科、麻醉科、康复医学科、药学部、检验科、护理部、医务部、输血科、手术室等专家进行了详细的术前会诊。

护理MDT会诊为患者制定个性化的护理实施计划

多学科会诊后,团队对患者进行了充分、精准评估,术前通过测量患者PK(药物代谢动力学)的动态变化,为其制定了个性化的凝血因子替代治疗方案。骨科一病区(关节、脊柱)团队则精心设计手术方案,考虑到血友病患者特殊的身体状况,团队对手术操作的细节进行了反复推敲和演练。为做好围手术期的护理和并发症的预防,护理部成立护理小组,组织MDT护理会诊,为患者制定了个性化的围手术期护理实施计划。

刀尖起舞,骨科专家成功置换膝关节

手术由中南大学湘雅二医院骨科主任兼桂林医院骨科主任、国内知名骨科专家毛新展教授主刀,桂林医院副院长曹丽君为患者实施精准麻醉,桂林医院骨科一病区(关节、脊柱)行政主任易平及骨科医师共同协作完成。

为患者实施手术

术中测试膝关节活动度

手术过程中,医护人员密切配合,细致入微开展每一步操作,并小心翼翼地完成软组织松解,反复测试膝关节活动度。考虑到手术特殊性,医护团队在手术中并未使用止血带。专家团队充分清理了患者增生的纤维及滑膜组织,在三小时内成功完成双侧膝关节置换,术中及术后总出血量未超过300ml。

患者术后CT检查结果

术后,患者被送入病房进行密切观察和悉心护理,通过持续的凝血因子补充和全面的康复治疗,患者恢复情况良好,未感到明显疼痛和出现严重的并发症。术后第三天,患者在医护人员的协助下进行了床边活动。

患者出院前,骨科一病区(关节、脊柱)行政主任易平、肿瘤血液科行政副主任贺华查看患者恢复情况

经过一段时间的康复训练,患者的膝关节功能得到显著改善,疼痛明显减轻,活动范围也逐渐增大。得益于个性化的治疗方案,患者此次手术的总费用控制较同级别医院明显减少,有效减轻了患者家庭的经济负担。路先生激动地表示:“以前因为膝关节的问题,生活很不方便,现在感觉有了新的希望,非常感谢医护人员的努力和付出。”

据了解,此前这类情况复杂的患者往往要去往外地或外省大医院进行手术,此次血友病性膝关节置换手术的成功,为桂林地区更多血友病患者带来了福音。依托湘雅二医院骨科强大的实力,与医院多学科诊疗模式(MDT)优势,中南大学湘雅二医院桂林医院骨科将不断提升医疗技术水平,帮助更多复杂疑难患者重拾健康,拥抱美好新生活。

通讯员:侯琳

审核:一审刘鑫林 二审唐大钧 三审唐清