请输入关键字
一站式解决“心”难题!湘雅二医院桂林医院成功为生命通道“换阀修路”
时间: 2025.09.26
74岁的何爷爷(化名),心脏两大“阀门”严重病变,给心脏供血的“命脉”也严重堵塞,生命岌岌可危。近日,中南大学湘雅二医院桂林医院心血管外科团队迎难而上,通过一场长达11小时的超高难度手术,成功为其实施了“主动脉瓣置换+二尖瓣置换+冠状动脉旁路移植术”(简称“双瓣置换+冠脉搭桥术”),一举扫除多重致命威胁,为高龄复杂心脏病患者点燃了“心”希望。
病情复杂,高龄患者心脏“阀门”“命脉”双重告急

何爷爷早前就在当地医院被诊断出主动脉狭窄,但未予重视。近一年来,一次肺炎诱发了心力衰竭,导致何爷爷活动后胸闷、气促的症状加剧且频繁发作,日常生活受到严重影响。入院后,全面检查提示了患者的病情凶险程度。心脏彩超显示,主动脉瓣和二尖瓣这两个核心“阀门”出现严重病变,致使心脏功能急剧恶化;冠脉造影结果更为棘手,不仅存在两支血管病变伴钙化,最狭窄处甚至达到了75%。如此复杂危重的状况,使得手术成为唯一有效的治疗方案,但也意味着极高的风险,这对医疗团队的技术与协作提出了空前挑战。

术前心脏彩超显示患者左心功能显著降低

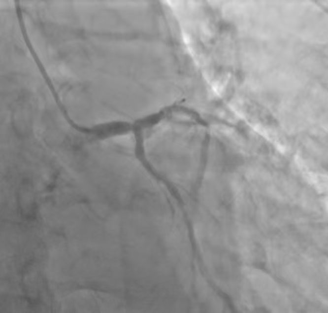
患者术前冠脉造影提示双支血管病变合并钙化
协同攻坚,多学科团队定制“生命方案”
面对这一棘手的病例,医院心血管外科执行主任张鸿立即牵头,组织麻醉科、手术室等多学科专家进行紧急会诊。
多学科团队围绕患者的病情展开了深入细致的讨论,经过全面评估与审慎权衡,最终为他量身定制了一套详尽的手术方案及应急预案。这套方案不仅确保了治疗的科学性,更将患者安全置于首位,为即将到来的高难度手术奠定了坚实基础。
精准施治,11小时鏖战打通“生命通道”
手术当日,麻醉与体外循环团队全程严阵护航。心血管外科主任顾问周新民教授领衔,携张鸿主任、张致远博士组成核心手术组,正式开启这场与时间竞速的生命保卫战。

术中,团队先顺利建立体外循环,待心脏停跳后,主刀医生凝神聚力,精准剥离并切除病变瓣膜,成功植入两枚生物瓣膜,为心脏“阀门”换上全新“核心部件”。紧接着,团队又精准分离患者自体血管,凭精湛医技娴熟完成冠状动脉旁路移植术,为缺血心肌重新打通了“生命供血线”。

from clipboard

周新民教授(左)与张鸿主任(右)正全神贯注地进行精细操作
历经11个小时的艰苦奋战,当体外循环机被成功撤离,患者心脏重新开始有力搏动——这一刻,宣告了这场生命保卫战取得关键胜利。
顺利康复,先进技术护航患者“新生”

术后,患者被送入心血管外科重症监护室接受24小时严密监护和精准治疗。在床旁PICCO(脉搏指示连续心输出量监测)持续监测和IABP(主动脉内球囊反搏)的辅助下,医护人员时刻关注着患者的生命体征。经过8天的精心守护,患者平稳度过了术后最危险的阶段,生命体征趋于稳定,各项指标也逐渐恢复正常。

from clipboard

术后,患者在心外重症监护室内,接受24小时严密监护

转入普通病房后,在医护人员的耐心指导与鼓励下,何爷爷每天都坚持进行心脏康复训练。持续的锻炼让他逐渐找回活力,心功能得到显著改善,胸闷、气促等症状明显减轻,整个人的精神状态也焕然一新,脸上浮现出久违的笑容。很快,何爷爷便能独立下床活动,最终顺利康复出院。

from clipboard

转入普通病房后,患者在医护人员指导下进行康复训练
此次“双瓣置换+冠脉搭桥”一站式手术的成功实施,对于桂林及周边地区的复杂老年心脏病患者而言,无疑是一颗“定心丸”。它标志着此类高难度心脏手术已能在本地得到高水平解决,有效避免了患者辗转外地求医的奔波劳顿与经济负担,真正实现了在家门口重获“心”生。